Jaké jsou druhy rovnátek? Přehled fixních ortodontických systémů

Jaké jsou druhy rovnátek? Přehled fixních ortodontických systémů pro, 7 2025

Výběrový nástroj pro fixní rovnátka

Tento nástroj vám pomůže určit, který typ fixních rovnátek je pro vás nejvhodnější. Zadejte své preferencie a získáte osobní doporučení.

Pokud jste se rozhodli pro fixní rovnátka, pravděpodobně jste už slyšeli o kovových, keramických nebo lingválních typech. Ale co vlastně znamená každý z nich? A který by mohl být ten pravý pro vás nebo vaše dítě? Nejde jen o to, jak vypadají - každý typ má své výhody, nevýhody a ideální použití. Víte například, že moderní keramické rovnátka jsou skoro neviditelná, ale mohou být náchylnější k poškození? Nebo že lingvální rovnátka jsou skrytá za zuby, ale mohou ovlivnit mluvení na začátku? Zde je přehled všech hlavních druhů fixních rovnátek, které dnes ortodonti v České republice používají, s reálnými detaily, které vám pomohou rozhodnout.

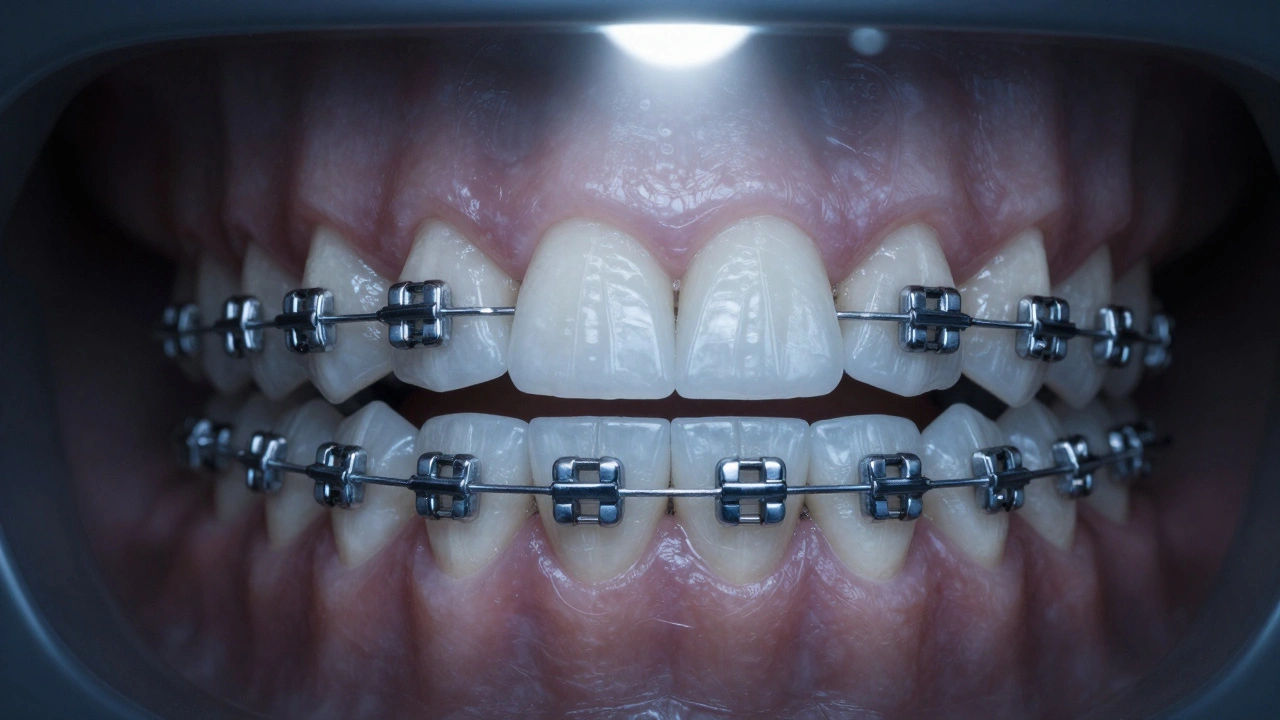
Kovové rovnátka - klasika, která funguje

Kovové rovnátka jsou nejstarší a nejčastěji používaný typ. Jsou vyrobeny z nerezové oceli, někdy s přídavkem titanu pro lepší biokompatibilitu. Každé rovnátko se skládá z drátek, záclon a elastických vazebek, které se pravidelně upravují. Tyto rovnátka jsou nejsilnější a nejúčinnější při řešení složitějších vývojových vad - například při překrytí zubů, širokých mezích nebo příliš vysokých čelistí.

Na rozdíl od toho, co mnozí myslí, dnešní kovová rovnátka nejsou tak hrubá jako v 90. letech. Jsou menší, lehčí a mnohé z nich mají speciální povlaky, které snižují tření a zkracují léčbu. Děti a teenagové často volí kovová rovnátka, protože mohou měnit barvu vazebek - zelené, modré, růžové nebo dokonce svítící. Pro dospělé je to často volba z důvodu ceny: kovová rovnátka jsou nejlevnější z fixních systémů, často kolem 25 000 Kč za obě čelisti.

Keramické rovnátka - estetická alternativa

Keramická rovnátka jsou navržená tak, aby se co nejlépe sloučila s přirozenou barvou zubů. Jsou vyrobena z křemíkové keramiky, která je pevná, ale méně odolná než kov. Výhoda je jasná: když se podíváte na někoho v třídě nebo na schůzce, nevidíte kovové záclony - jen světlé, téměř neviditelné prvky.

Na druhé straně mají keramická rovnátka své limity. Jsou citlivější na tlak - pokud si někdo zvykne hrátky s nimi nebo jí svařené oříšky, mohou se poškrábat nebo dokonce rozbít. Také jsou obvykle o 15-20 % dražší než kovová, což znamená cenu kolem 30 000-38 000 Kč. Navíc se keramické záclony často barví od čaje, vína nebo kávy, pokud nejsou pravidelně čištěny. Pro dospělé, kteří pracují v klientele nebo se chtějí vyhnout pozornosti, jsou výbornou volbou - pokud jsou ochotni dávat pozor na stravu a hygienu.

Lingvální rovnátka - skrytá ortodoncie

Lingvální rovnátka jsou jediný typ fixních rovnátek, které jsou připevněny na vnitřní stranu zubů - tedy k zubnímu jazyku. Nejsou vidět ani z blízka, ani z dálky. To je jejich hlavní výhoda - dokonalá estetika bez kompromisů. Jsou často voleny hereckými osobnostmi, manažery nebo lidmi, kteří chtějí léčbu bez toho, aby se o ní někdo dozvěděl.

Problém je v komfortu. Na začátku můžete mít obtíže s mluvením - někteří pacienti říkají, že se cítí jako kdyby měli v ústech kámen. Taky může být obtížnější čistit zuby, protože záclony jsou v úzkém prostoru. Léčba trvá obvykle o něco déle než u klasických rovnátek, protože ortodont musí pracovat z nepříjemného úhlu. Cena je nejvyšší ze všech fixních systémů - často 60 000-80 000 Kč, protože se jedná o individuálně vyrobené systémy, které vyžadují pokročilou technologii a zkušené ortodonty. V ČR se používají hlavně v velkých městech jako Praha, Brno nebo Ostrava, kde je dostatek specializovaných klinik.

Dospělý s keramickými rovnátky, která jsou téměř neviditelná.

Samoligující rovnátka - rychlejší léčba

Samoligující rovnátka (tzv. self-ligating) se liší od klasických tím, že nemají elastické vazebky. Místo toho používají speciální mechanický zámek nebo víčko, které drží drátky. To znamená méně tření, rychlejší pohyb zubů a méně návštěv u ortodonta - někdy jen každých 8-10 týdnů místo každých 4-6.

Tyto systémy mohou být vyrobeny z kovu nebo keramiky. Kovové samoligující rovnátka jsou oblíbené u dospělých, kteří chtějí efektivitu bez estetického kompromisu. Keramické verze jsou vhodné pro ty, kdo chtějí obě výhody: rychlost a neviditelnost. Cena se pohybuje kolem 35 000-45 000 Kč. Studie z Ortodontické společnosti ČR ukazují, že léčba samoligujícími systémy může být o 3-6 měsíců kratší než u klasických rovnátek, zejména při komplexních případech.

Co není fixní rovnátka - důležité rozlišení

Někdo si myslí, že transparentní splinty jako Invisalign jsou také fixní rovnátka. To není pravda. Fixní rovnátka jsou pevně připevněna k zubům a nemůžete je sami sundat. Invisalign nebo ClearCorrect jsou odstranitelné systémy - nosíte je 22 hodin denně, ale můžete je sundat na jídlo nebo čištění. Pokud hledáte fixní řešení, tyto systémy nejsou možností. Naopak, pokud chcete estetiku a flexibilitu, ale nechcete kov, můžete zvážit kombinaci - například kovová rovnátka na spodní čelist a Invisalign na horní.

Je také důležité vědět, že existují tzv. „polo-fixní“ systémy, jako jsou rovnátka s jen jednou částí připevněnou - například jen na horní čelist. Ty se používají u dětí v fázi přechodu z mléčných na trvalé zuby, ale nejsou plnohodnotnou alternativou k úplným fixním systémům.

Které rovnátka vybrat? Praktický přehled

Není jednoduché říct, které rovnátka jsou „nejlepší“. Vše závisí na vašich potřebách. Zde je přehled, který vám pomůže rozhodnout:

Porovnání druhů fixních rovnátek
Typ rovnátek Výhody Nevýhody Cena (od) Nejlepší pro
Kovové Nejsilnější, nejrychlejší, nejlevnější Viditelné, mohou dráždit ústa 25 000 Kč Děti, teenagové, složité případy
Keramické Skoro neviditelné, estetické Snadno se poškodí, barví se, dražší 30 000 Kč Dospělí, kteří chtějí diskretnost
Lingvální Úplně neviditelné Nejdražší, obtížné čištění, ovlivňují mluvení 60 000 Kč Profesionálové, herečky, lidé s veřejným vystupováním
Samoligující (kovové/keramické) Rychlejší léčba, méně návštěv, méně tření Dražší než klasické, vyžadují zkušeného ortodonta 35 000 Kč Dospělí, kteří chtějí efektivitu a estetiku

Pokud máte omezený rozpočet, kovová rovnátka jsou nejrozumnější volbou. Pokud vás zajímá vzhled, keramická nebo samoligující jsou lepší. Pokud potřebujete absolutní diskretnost a nemáte problém s vyšší cenou, lingvální systémy jsou jediná možnost. Vždy se poraďte s ortodontem - ne všechny systémy jsou vhodné pro každý případ. Například u silně překrytých zubů nebo příliš krátkých zubů může být lingvální systém vůbec nepoužitelný.

Vnitřní pohled na lingvální rovnátka připevněná na vnitřní stranu zubů.

Co se stane po instalaci?

Po instalaci fixních rovnátek se vám zuby budou pohybovat pomalu - obvykle o 0,5-1 mm za měsíc. Prvních 2-3 týdny můžete cítit tlak, bolest nebo podráždění v ústech. To je normální. Můžete používat ortodontický vosk na místa, kde vás rovnátka dráždí. Většina lidí se k nim během týdne zvykne.

Čištění je klíčové. S fixními rovnátky se snadno ukládá zubní kámen. Doporučuje se používat interdentalní kartáčky, vodní proud a speciální zubní pastu s fluoridem. Některé kliniky v ČR nabízejí zdarma výukové kurzy pro pacienty - využijte je. Pokud nebudete čistit správně, můžete mít po léčbě bílé skvrny na zubech nebo dokonce karies.

Léčba trvá v průměru 18-24 měsíců, ale může být kratší nebo delší podle věku, váhy vad a spolupráce pacienta. Děti často reagují rychleji, protože jejich kosti jsou stále v růstu. Dospělí mohou potřebovat delší dobu, ale výsledek je stejně dobrý.

Co dělat po odstranění?

Po odstranění rovnátek neznamená konec péče. Zuby mají tendenci se vrátit do původní polohy. Proto je nutné nosit retenci - buď pevnou (tenký drátek za předními zuby) nebo odstranitelnou (průhledný splint). Většina ortodontů doporučuje retenci alespoň 2 roky, někteří i doživotně. Pokud ji nebudete nosit, může se vaše léčba zhroutit - a to i po 20 tisících korunách investice.

Můžu si vybrat barvu vazebek u kovových rovnátek?

Ano, u kovových rovnátek můžete vybírat barvu elastických vazebek. Většina klinik nabízí širokou paletu - od klasických bílých a transparentních po jasné barvy jako červená, modrá, fialová nebo zlatá. Některé kliniky mají i svítící nebo tepelně citlivé vazebky, které mění barvu podle teploty. U keramických a lingválních rovnátek barvy nejsou k dispozici, protože vazebky jsou buď skryté, nebo jsou součástí samotného systému.

Je možné nosit fixní rovnátka, když mám plomby nebo korunky?

Ano, fixní rovnátka mohou být instalována i na zuby s plombami nebo korunkami. Ortodont použije speciální lepidlo, které se přilepí i na keramické nebo metalické povrchy. Pokud máte velké plomby nebo některé zuby jsou značně poškozené, může být nutné je nejprve opravit nebo nahradit, aby bylo možné rovnátka bezpečně připevnit. To se rozhoduje individuálně při první konzultaci.

Můžu si rovnátka sám sundat nebo upravit?

Ne, fixní rovnátka jsou pevně připevněna k zubům pomocí speciálního ortodontického lepidla. Pokus o jejich odstranění nebo upravení může vést k poškození zubů, zubního kameně nebo k tomu, že se rovnátka zcela ztratí. Pokud se vám něco rozbije nebo uvolní, okamžitě se obrátte na ortodonta. Nenechávejte to na vlastní ruku - to může způsobit trvalé poškození.

Je fixní rovnátka vhodné pro dospělé i pro děti?

Ano, fixní rovnátka jsou vhodné pro všechny věkové skupiny - od 10 let až po 60 let. U dětí se často používají k opravě vývojových vad, jako je překrytí zubů nebo špatná poloha čelistí. U dospělých se používají hlavně k estetickému vylepšení. Moderní systémy umožňují dospělým léčit zuby bez toho, aby to někdo všiml. Věk není překážkou - jen se musí zvážit stav kostí a dásní.

Může rovnátka poškodit zuby?

Samotná rovnátka nezničí zuby. Ale špatná hygiena ano. Pokud nebudete zuby řádně čistit, může se pod rovnátky vytvořit zubní kámen a karies. To je hlavní riziko. Důležité je čistit zuby po každém jídle, používat interdentalní kartáčky a pravidelně chodit na profesionální čištění. Pokud dodržíte hygienické doporučení, zuby budou po léčbě zdravější než předtím.

Kam dál?

Pokud uvažujete o fixních rovnátkách, začněte konzultací s ortodontem. Nejde o to, co je nejmodernější nebo nejlevnější - jde o to, co je nejvhodnější pro vaše zuby, vaše životní styl a vaše očekávání. Většina klinik v ČR nabízí první konzultaci zdarma - využijte ji. Připravte si otázky, podívejte se na příklady před a po, a nechte si vysvětlit, proč vám ortodont doporučuje právě tenhle systém. Léčba trvá roky, ale výsledek - pevné, zdravé a krásné zuby - zůstane s vámi celý život.